肺癌反复"找"上门怎么办?延长生存期、预防复发采取这些措施才能让"肿瘤君"滚蛋!
小编 2022-11-29
肺癌延长生命和预防复发的方法有哪些
家住在常州市的李先生是烟龄近30年的“老烟枪”,每天烟酒不离手。2020年初李先生因手指头变形、水肿,胸闷伴又咳嗽到市医院做CT检查,不幸确诊为肺癌。幸亏发现得早,行右肺部分切除术后,自觉恢复地还可以,就没有继续治疗了。
术后,主治医生让李先生按时来医院定期复查,但李医生并没有太在意,也没有感觉身体有什么不适,本来计划的2020年4月的复查,愣是拖到2020年10月份,此次来复查竟是因为感觉头晕、头痛、走路不稳等症状,检查结果犹如晴天霹雳,结果显示李先生的肺癌已经转移到脑部,发生了脑转移。
收治入院后,主治医生为李先生开展了MDT多学科会诊,针对他的病情,医院制定了个体化的精准治疗,先行立体定向放射治疗联合免疫治疗。待放疗结束后,李先生的症状得到缓解,在复查时肿瘤明显缩小。
肺癌反复"找上门"的原因是什么?治疗结束后,千万不可掉以轻心
刚才提及的李先生之所以患癌与他多年的吸烟史有关系,但好在手术切除及时,但由于后期复查不及时,没有引起足够的重视,造成了病灶脑转移的后果,给后续的治疗增加了巨大的难度。
的确,在现实生活中,很多患者经历了手术、放疗、化疗、靶向、免疫等等一连串艰辛治疗后,以为自己的病情已经治愈了,没想到癌症的复发转移犹如当头棒喝。
严峻的事实摆在癌友们的面前,虽然不是所有癌症患者术后都会复发,但临床上出现复发情况的人的确不少。据中国医学科学院肿瘤攻关组专家指出:癌症患者在治疗结束出院后的1~3年内正是复发、转移的高危期,少部分患者发生在根治后3~5年。超90%的癌症患者死因竟是复发转移!

以肺癌为例,其外侵和转移症状如图(图源摄图网)
中国工程院院士肝癌专家汤钊猷更是明确指出,攻克癌症的两个具体目标,一是怎样才能不患癌,就是预防癌症;二是万一患癌后,能否使癌症不转移。他还强调癌症攻坚战要从防治癌症的复发和转移开始。
癌症的复发转移是多方面的原因造成的,主要是癌症本身的特性造成的,其次就是治疗不彻底或不经过规范化治疗。而人体内在的因素主要就是免疫功能的下降,随着压力增大、情绪波动、年龄增长等原因,这些都会削弱作为人体防御体系的免疫功能,癌症就会得到发展。因此,在临床治疗后,应尽快调整患者的免疫功能是预防复发转移的重中之重。
当患者康复数月或多年再次复发,首先要揪出复发的“祸根”。癌细胞就像是冬眠的动物,当免疫功能低下时,它就会苏醒。对于康复期处于复发转移高危期的患者,应围绕免疫功能的主线去避免各种各样的问题,预防癌症的复发。今天,无癌家园小编就给各位肺癌患者们献计献策,助力大家实现延长生存期、甚至临床治愈的终极目标!
免疫治疗能够预防癌症复发,细胞疗法助力重建免疫系统
不同于手术(切除病灶)、化疗(对微转移有效)、放疗(局部有效改善)不同的是,免疫治疗被称为癌症的“第四种疗法”,作为一种新型疗法,它针对的不是癌细胞和肿瘤组织,而是人体自身的免疫系统,通过增强、激活癌症患者免疫系统,依靠自身免疫机能杀灭癌细胞和癌组织。因此理论上对所有癌症类型都有临床效果。
目前临床研究也证实,癌症治疗一半靠药力,一半靠自身免疫力。若身体虚弱,免疫力低下,药物再好也无法发挥疗效;反之,免疫正常就易于治病。
此外,肿瘤放化疗期间通过免疫疗法调节免疫系统恢复平衡,激活、修复受损的免疫细胞,促进分泌免疫因子,重塑免疫防线,恢复免疫监视功能,能够有效遏制肿瘤细胞的增生,也可有效抵御各种毒副作用。这也是为何有些癌症分期较晚的患者在手术后采用辅助化疗配合细胞免疫治疗,不仅能杀灭潜伏在身体内残余的癌细胞,还能起到防止复发及转移的目的。
目前国际上取得重大研究进展的几大过继性细胞疗法如下。
1、EGFR为靶点的CAR-T治疗晚期难治性NSCLC
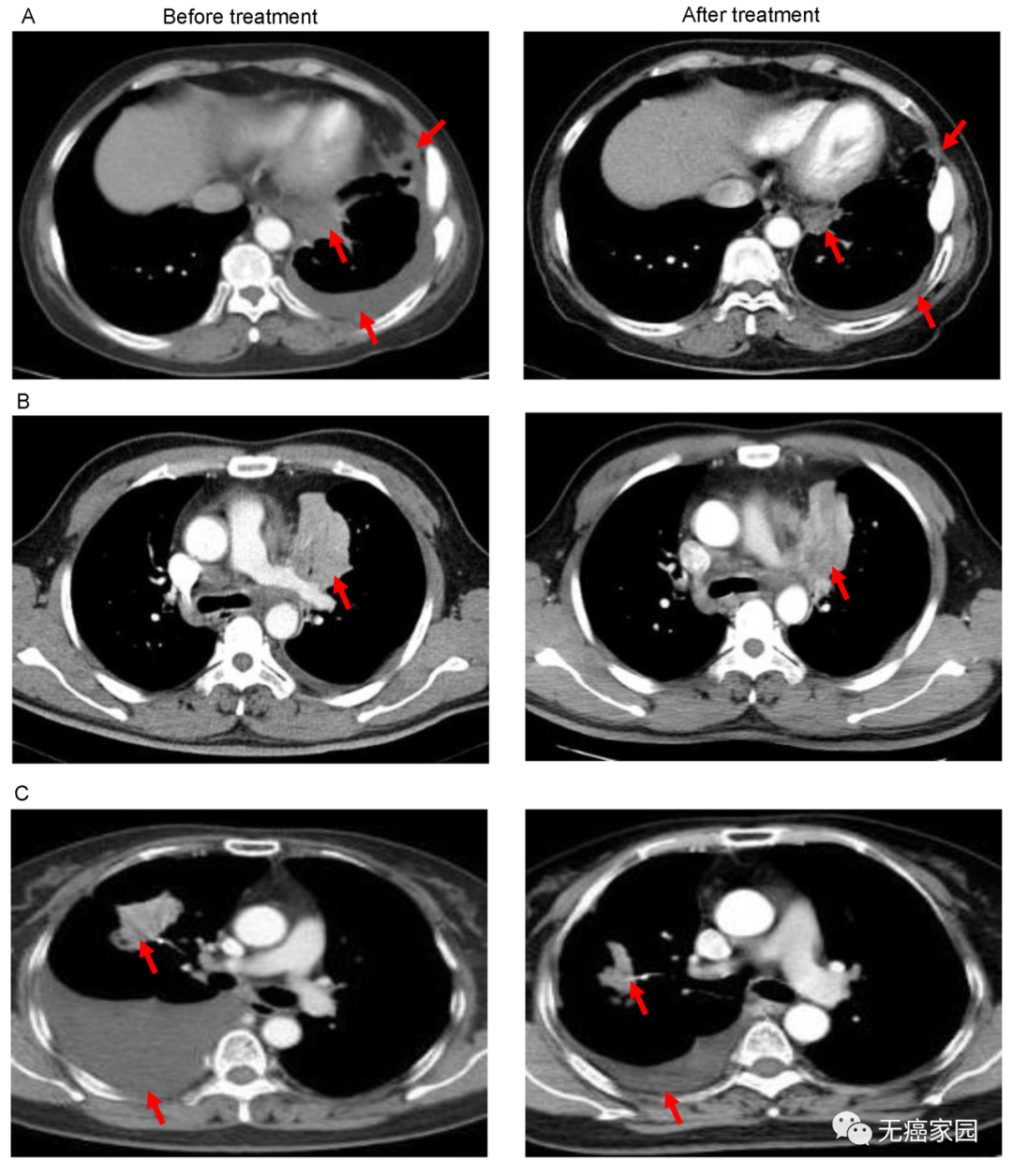
301医院在国内率先开展CAR-T疗法,成果显著。韩为东教授曾报道过利用EGFR为靶点的CAR-T治疗EGFR表达强阳性(EGFR表达超过50%)的晚期难治性的非小细胞肺癌患者。
研究结果显示,其中11例患者疗效可评价:2例患者肿瘤明显缩小,5例疾病稳定。
图A中患者1在输注CAR-T细胞后,通过CT扫描显示其胸腔积液减少,转移性肺门淋巴结和胸膜结节轻度缩小(箭头)。
图B中CT图像显示患者8的原发性肿瘤缩小(箭头);
图C中CT检查发现CAR-T治疗后患者9的胸腔积液吸收和肺部病变明显消退。

目前无癌家园急招B细胞淋巴瘤、T细胞淋巴瘤、T细胞白血病(T-ALL)、急性白血病、非霍奇金淋巴瘤、胃癌、前列腺癌、甲状腺癌、间皮瘤、食管腺癌等癌种的患者!
想要评估病情是否能够接受CAR-T疗法可将病理报告、治疗经历及出院小结等提交至无癌家园医学部。
2、晚期肺癌PD-1耐药怎么办?TILs疗法仍能延长生存期
在过继性细胞免疫治疗领域,除了CAR-T细胞疗法,实体肿瘤中最具潜力的当属TILs(肿瘤浸润淋巴细胞)疗法。2019年ASCO会议上,基于TILs细胞的创新型疗法LN-145和LN-144(Lifileucel)在治疗宫颈癌和黑色素瘤的临床结果引起了医学界的广泛关注。
在2020年AACR会议上,公布了关于非小细胞肺癌基于TILs治疗的I期临床结果:在12名可评估的患者中,TIL疗法可达到25%的总缓解率,其中两名患者达到持久的完全缓解。值得一提的是,这些患者既往均接受过PD-1抗体(Opdivo)治疗且病情发生进展。

因此,在PD-1治疗后,TILs疗法仍具有令晚期转移性非小细胞肺癌达到持久缓解的能力,这是非常了不起的,期待这款疗法能加大研究,早日获批上市,为晚期患者的生命持续续航。
3、NK细胞回输竟能治疗晚期肺癌,疗效势不可挡
由广东省蛋白质组学重点实验室姜勇教授团队开展的最新研究发现,PD-1抑制剂在临床治疗中对非小细胞肺癌具有活性,并且发现除了T细胞外,NK细胞不仅同样能够表达PD-L1蛋白,而且还具有延长晚期非小细胞肺癌患者生存期的潜力。
晚期非小细胞肺癌患者在采用派姆单抗联合NK细胞治疗后,总缓解率为36.5%;明显高于单纯采用派姆单抗治疗(18.5%),肿瘤最大横向直径(MTD)显著缩短。平均总生存为15.5个月,无进展生存期为6.5个月,均比单纯采用派姆单抗的患者更长。
4、疾病控制率71.4%,MCTL疗法联合PD-1治疗肺癌疗效令人鼓舞
接下来,介绍下肿瘤特异性多靶点效应T细胞(MCTL®)技术。这项我国自主研发的细胞疗法是通过靶标检测,确定患者阳性靶标,然后把这些靶标装载在其自身免疫细胞上,经过体外扩增培养,生成大量多靶点效应细胞再回输到患者体内,成为识别突变细胞、肿瘤细胞的“雷达”。此项技术主要是在精准杀伤癌细胞提高患者免疫力的同时,提高患者的生存质量,延长生存周期,以实现带瘤生存!
在2021年ASCO大会上,我国医学研究者们公布了一项集群靶标特异性的M-CTL疗法联合特瑞普利单抗注射液治疗晚期非小细胞肺癌的疗效观察研究。

由于与多西他赛相比具有良好的耐受性及疗效,抗PD-1/PD-L1单克隆抗体治疗已在美国和欧洲被批准作为晚期非小细胞肺癌的二线治疗。但不幸的是,客观反应率只有20%左右。MCTL细胞可以恢复抗肿瘤免疫力以改善患者的预后。因此此研究旨在观察MCTL疗法联合PD-1抑制剂的联合疗效。
此研究纳入2019年6月~2020年10月收治的14例患者,鳞状细胞/非鳞状细胞比率为 50%/50%,5例有胸腔积液,3例有骨转移。在13例可评估的患者中,客观缓解率为38.4%,疾病控制率为71.4%。
在数据截止时,未达到中位缓解持续时间,中位无进展生存期为399天。中位总生存期未达到。
这项研究证实,MCTL联合特瑞普利单抗的疗效令人鼓舞,且患者耐受性良好,可作为晚期非小细胞肺癌的二线治疗。
若经济条件允许且想咨询MCTL细胞疗法的癌友们可提交病理报告、治疗经历及出院小结等资料至无癌家园医学部,详细评估病情。
5、晚期非小细胞肺癌患者采用改良CAR-NK治疗后,肿瘤显著缩小
一项于2022年5月3日发表于《Cell Transplantation》上的研究中,报道了采用改良后的CAR-NK疗法治疗晚期非小细胞肺癌患者的病例分析。
国内研究者们首先在体外验证了CCCR-NK92细胞对肺癌细胞系的杀伤作用,最后,在人肺癌NOG小鼠皮下异种移植模型中进行了动物实验,用 CCCR-NK92 细胞处理的小鼠的肿瘤体积明显小于对照组,在实验小鼠中未观察到明显的毒副作用。
此后,他们设计了一项II期临床试验来评估CCCR-NK92 细胞疗法的疗效和安全性。
2017年2月2日,69岁的女性患者被确诊为非小细胞肺癌,影像结果显示颅内转移,而基因检测显示 Exon-19 19-del 突变和 T790 突变,以及肺组织中 PD-L1 表达≥1%。她第一次服用吉非替尼 3 个月。然而,由于疾病进展,她改用奥希替尼 10 个月。之后,她因颅内转移于 2018 年 7 月 13 日接受了头部放疗。3个月后给予靶向治疗药物和局部放疗,然后于2018年9月27日进行评估。她因害怕副作用拒绝化疗。考虑到她的条件合适,她参加了包含用于 NSCLC 的 CCCR-NK92 细胞的临床试验。
经3周期的治疗后,CT图像显示细胞疗法在治疗肿瘤方面具有一定的疗效。具体来说,左肺包裹的胸腔内液体从46.22mm减少到 33.59mm(图 2A ~2C),而前气管-后腔静脉间质区域的淋巴结从11.3mm减少到8.55mm(图2B~2D)。

6、晚期肺癌患者生存期翻倍!现货型肿瘤疫苗让患者活得更长久
2022年ESMO大会上公布了SLATE-KRAS与SLATE v1癌症疫苗项目在治疗晚期实体瘤患者的临床1/2期试验结果。这两个项目均为现货型、靶向共同肿瘤新抗原疫苗。该研究发现,此疗法与免疫检查点抑制剂联用,能够达到积极的治疗效果,并展现良好的安全性。

截图来源于Gritstone bio官网
在临床1/2期临床试验中,选取38例带有特定KRAS突变的转移性实体瘤患者,分别进入SLATE v1(n=26)与SLATE-KRAS(n=12)队列,旨在检验SLATE v1与SLATE-KRAS在与PD-1免疫检查点抑制剂纳武利尤单抗(nivolumab)和CTLA-4抗体伊匹木单抗(ipilimumab)组合使用的早期临床效果及安全性。
值得一提的是,81.6%(31/38)的患者为晚期非小细胞肺癌(n=18)或微卫星稳定型结直肠癌(n=13)。
临床试验显示,这两款疫苗展现出强有力的免疫原性,接受SLATE v1与SLATE-KRAS治疗的患者分别有31%与55%引发具KRAS特异性的CD8+ T细胞。
当以测量患者体内的循环肿瘤DNA(ctDNA)含量来检视治疗效果(分子缓解)时发现,在可进行测试的微卫星稳定型结直肠癌与非小细胞肺癌患者中,有39%(7/18)达成分子缓解(ctDNA含量下降)。
在18例非小细胞肺癌患者中,达成分子缓解与延长的总存活期相关。达成分子缓解的非小细胞肺癌患者的中位总生存期为9.6个月,而未达成分子缓解的为4.5个月。
此疗法的安全性和耐受性良好,大部分的治疗相关不良反应为1、2级,较轻微。
如何寻求个性化癌症疫苗治疗>>
目前,癌症疫苗中疗效及预防复发效果较为突出的当属树突状细胞疫苗及个性化新抗原疫苗等,在德国、日本也有树突状细胞疫苗用于临床辅助治疗多种癌症,如肺癌、肝癌、肾癌、乳腺癌、皮肤癌等,这是癌症患者治疗的新希望。
想寻求国内外治疗新技术帮助的患者,在经济条件允许的情况下,可以先将病理报告、治疗经历及出院小结等资料提交至无癌家园医学部进行初步评估。
7、树突细胞疫苗联合化疗一线治疗晚期非小细胞肺癌初现曙光
DCVAC/LuCa是由美国研发的针对非小细胞肺癌患者的树突状细胞疫苗。在2019年ASCO大会上公布的一项冲击晚期肺癌一线治疗方案的研究中,DCVAC/LuCa疫苗联合化疗组客观缓解率为45%,中位总生存期为15.5个月,中位无进展生存期为6.74个月,死亡风险降低46%!
在2022年最新的新型树突细胞疫苗DCVAC/LuCa(肺癌树突状细胞疫苗)联合标准卡铂/培美曲塞治疗晚期非鳞状细胞 (nsq) 非小细胞肺癌的II期临床研究中,患者1年生存率为72.73%,2 年生存率为 52.57%。截止数据发表时,还未达到中位总生存期。中位无进展生存期为8.0个月,客观缓解率为31.82%。
被忽略的抗癌"良药"——营养支持
长久以来,不管是手术、放疗、化疗、靶向、免疫等何种癌症的治疗方式,大都是着眼于对癌细胞的杀伤层面。肿瘤患者常常忽略一个重要的问题,人体自身也是抵抗癌症的第一道“前沿阵地”,忽略了身体状态,一昧追求对癌细胞赶尽杀绝,在帮助患者实现长期生存的过程中反而有些本末倒置。而保证患者身体状态最重要的环节之一,就是做到最佳的营养支持治疗。
营养治疗是肿瘤患者接受一切治疗的基础,更关乎到是否能够进行评估临床试验。小编曾遇到过很多身体机能,营养状况紧靠营养液维持生命的患者被临床试验拒之门外。其中问题最严峻的当属肿瘤患者的营养不良问题。
据临床研究发现,我国67%的住院肿瘤患者中、重度营养不良,有71%没有得到足够的营养支持。因此,营养问题应该引起癌症患者本人、家庭及临床医生的额外重视,甚至等同于治疗的重要性,有些晚期患者可以通过饮食调理,改善自身的营养状况,提高免疫,能够增强自身对抗癌症的能力,从而达到延长无进展生存期的目的!
为了帮助癌症患者更全面地了解营养与肿瘤的关系,找到更好的补充营养的方法,无癌家园医学部联合国内权威的肿瘤营养专家不定期为肿瘤患者会诊,制定营养治疗方法。
另外,人患了癌症后,在接受适当的治疗时,如果患者本身免疫力比较强,那么治疗效果也会比免疫力弱的人更好一些。而且,在患癌的过程中,提高自身免疫力也是十分重要的事情,因为要修复正常的细胞,让身体发挥免疫作用,除了需要攻击癌细胞外,还需要保护、修复身体机能。因此,简单来说,免疫力和癌细胞的关系就像是弹簧,你强我就弱,我强你就弱。
那么,如何快捷方便地修复免疫系统,增强免疫力辅助后续治疗?口服胸腺蛋白肽粉不失为一个明智之选,内含胸腺蛋白肽,大豆肽粉,可增加免疫细胞储备,激活免疫系统。随时补充免疫力,能够为后续的癌症治疗奠定基础,抗癌是场持久战,坚持就能赢!
当遇到治疗瓶颈时,积极寻求第二诊疗意见
许多癌症患者在选择医生或治疗方案时采取的另一个步骤是,从该领域的另一位专家那里获得第二意见。在任何复杂的医学领域,第二意见都是一种常见的做法,而且有多种治疗方案。获得第二意见可以让你对癌症的治疗方案更加了解,也可以提供一种安慰。
如果两位治疗你所患癌症类型的专家在治疗方案上达成一致,可能会帮助你对自己的治疗选择感到更放心。而如果专家的意见不一致,则可能为疾病的诊断和治疗打开了另一扇大门。
如果您对于目前的治疗方案有疑问,或者想要咨询更合适的治疗方案,请联系无癌家园医学部申请国内外会诊。
癌症复发转移不可怕,应主动出击,规避风险
平时,癌友们要警惕身体症状,及时就医。康复期的患者,经常查看淋巴结,比如颈部、下颌等能够触及的体表淋巴结。若摸到局部重大或肿块,要注意观察按压时是否疼痛。除肿瘤阻塞症状外,还应留意其他器官上新发的肿瘤,这些新发的肿瘤会伴随压迫的症状。骨转移的患者可能会感受到剧烈的骨痛,有些严重的患者可能会发生骨折。脑转移最常见的表现为头痛、持续发热、视力障碍、精神障碍,有时肿瘤扩大可能转移到一些特殊部位,压迫神经,出现频发无法缓解的干咳,或明显的疼痛。
癌症治疗完成后的一年内,是复发和转移的高发期。复发和转移最重要的判断标准是结合肿瘤标志物的变化,以及医学影像学报告。患者及家属一定要谨慎对待,调整身体状态,增强身体免疫力,积极预防是关键。特别是出现不明原因的体重骤降,或持续低烧,应及时去医院复查。
即使癌细胞转移,也不一定意味着死刑,仍有部分患者能够获得长期生存的机会,甚至达到临床治愈。癌症的复发转移并不代表穷途末路,随着医学的进步,即使是极晚期的患者也有治愈的希望,面对“转移灶”,癌友们更应该正视困难,主动出击,尽早规避危险因素,将转移的可能性降低,这样才能达到延长生存期的目的!







