不限癌种,只认NTRK突变,火爆癌友圈的拉罗替尼横扫肺癌、肉瘤等17类癌种!
小编 2022-03-01
不限癌种的抗癌药广谱抗癌药物Larotrectinib(拉罗替尼)治疗肺癌、肉瘤等17类癌症效果不错
迄今为止,现代医学都尚未攻克“众病之王”——癌症,人类在对癌细胞发起前三波(外科手术、放疗、化疗)进攻后,意识到杀死癌细胞的同时也杀伤了正常的细胞,开始不断找寻新的治疗方法。那么,如何才能精准打击癌细胞,把对正常细胞的伤害降到最低呢?
人类的第四波进攻“靶向治疗”便应运而生。靶向治疗的药物是根据靶点来设计的,像钥匙和锁一样,一把钥匙开一把锁,这就是靶向治疗。不同于放化疗,靶向治疗属于精准治疗,有靶点就可用相应的靶向药物,疗效比较可靠,有效率高,起效较快,通常一两周就能看到效果。

图源摄图网
随着首个广谱抗癌药物——Vitrakvi ®(拉罗替尼,larotrectinib)获批上市,让“钻石”靶点基因——NTRK迅速火遍癌友圈,开启了泛癌种治疗的新纪元,这也让“一把钥匙开几把锁甚至多把锁”得以实现。
作为全球首个不分肿瘤来源用于初始治疗的靶向药,拉罗替尼于2018年11月26日被FDA批准上市,用于成人和小儿具有神经营养受体酪氨酸激酶(NTRK)基因融合的实体瘤治疗。
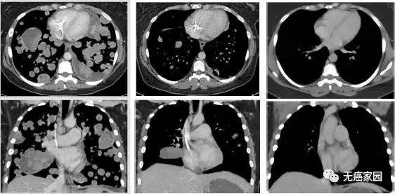
客观缓解率73.3%,75%的患者挺过2年,拉罗替尼治疗肺癌疗效突出
2022年1月27日在国际知名肿瘤杂志《JCO Precision Oncology 》上发布的拉罗替尼在NTRK融合阳性非小细胞肺癌患者中的疗效和安全性。
截止到2020年7月20日,该试验已治疗20名携带NTRK融合的肺癌患者,胸腺癌19例,神经内分泌瘤1例;50%的患者有脑转移,2例患者之前接受过脑放疗。
最后,有15例患者可评估临床疗效:
●1例患者完全缓解,10例患者部分缓解,3例患者病情稳定,仅1例出现进展;
●客观缓解率高达73.3%;1年生存率为86%;2年生存率为75%。
●中位缓解持续时间为33.9个月;中位无进展生存期为35.4个月;中位总生存期为40.7个月。
客观缓解率达63%,拉罗替尼对脑转移患者也有很好的疗效
10例有脑转移的患者中,能够评估疗效的有8例,患者总体(全身)靶向病变部位显著减少,范围从18%到88%。
其中,5例患者出现部分缓解,2例患者病情稳定,1例病情进展;客观缓解率为63%。
在4周期的治疗后,有2例患者的脑转移病灶分别缩小59%和100%,疗效令人惊喜!据悉,这两例患者之前没接受过脑部放射治疗。
研究证明,高选择性NTRK抑制剂拉罗替尼再NTRK融合阳性肺癌患者(包括脑转移患者)中具有活性且耐受性良好。这些发现证实了NTRK融合是关键的治疗靶点,并强调了对肺癌患者进行包含NTRK融合的早期分子检测策略的必要性。
患者病例赏析
2014年,Nichol Miller被诊断出腿部患有高级别的软组织肉瘤之后,进行了广谱化疗和手术,但却无法阻止快速扩散的癌症。
她的医生重新检查了对她的肿瘤样本进行的下一代基因组测试的结果。他们发现她的肿瘤有一个罕见的突变,称为NTRK基因融合。次年3月,Miller的病情严重到肿瘤充满90%的肺部,幸运的是她能够成为首位接受这种融合治疗的患者。
在开始每天两次服用拉罗替尼的3天内,Miller可以坐起来并且完整地讲话;
一个月后,她呼吸完全正常了;
到了6个星期,她可以骑马了,情况一直都在不断地好转。
现在,她的随访扫描结果显示,在过去三年她都已经没有癌症的迹象!

图示分别为治疗前、治疗3周期第1天、治疗13周期第1天
针对17种癌症有效!"传奇"抗癌药拉罗替尼招募来袭
拉罗替尼的获批在肿瘤治疗史上是一个振奋人心的里程碑。
其临床数据让人印象深刻:在TRK融合癌患者的临床试验中,入组的55例患者,拉罗替尼的客观缓解率高达75%,其中22%的患者完全缓解。
当然这个有效率还在后续的研究中不断刷新,并且这款药物是不区分肿瘤来源的,也就是说不管是肿瘤出现在什么难治的部位,也不管是不是出现了转移,只要存在NTRK(1/2/3)融合,都可以使用这款药物,临床数据已经证实对17种实体肿瘤有效,其中常见的肺癌的客观缓解率75%,甲状腺癌和纤维肉瘤高达100%!
拉罗替尼临床试验中各类癌症的有效率和持续缓解时间

目前已发现NTRK融合存在于超过25类癌症中,包括乳腺癌、结直肠癌、肺癌、甲状腺癌等,成人和儿童患者都可以使用。

除了拉罗替尼外,目前全球对于NTRK药物的研发正在如火如荼地进行中,给更多患者带来新希望!无癌家园特地为各位癌友们整理了目前正在招募的NTRK抑制剂的信息,希望给各位急于寻医问药的患者更多的治疗选择!

两年多以来,拉罗替尼在全球多个国家落地开花,而今年,终于传来了即将进入中国的好消息。
今年5月20日,CDE官网显示,拜耳在国内递交硫酸 Larotrectinib 胶囊上市申请并获受理(受理号:JXHS2101015)。这意味着,全球首款不区分肿瘤来源的泛癌种靶向药有望在国内获批,相信在不远的将来,国内的癌症患者会迎来这款“治愈系”抗癌药。

接下来,无癌家园小编就带领各位癌友们盘点下拉罗替尼是如何在各大癌种中显示出惊人效果的!
"切不掉"的罕见癌症,使用拉罗替尼后仅4天病灶迅速缩小
在2019年的美国癌症研究协会(AACR)年会上,Keith Taggart作为幸存者讲述了他通过Larotrectinib (拉罗替尼)治疗后过上健康长寿生活的经历。
2014年10月,61岁的Keith Taggart的脸颊上出现了一个豌豆大小的肿块,去口腔医院做完活检后,最终被确诊为唾液腺瘤。这种类型的癌症极为罕见,占所有癌症的比例不到1%。通常会出现下巴和脸颊无痛的小肿块,或面部肌肉疼痛或麻木。
手术是Keith最好的选择,然而他仿佛遭受魔咒一样,每次从手术中恢复,肿瘤又会重新卷土重来。
由于肿瘤的发展速度超乎想象,手术已经无法及时清除,在一次全身扫描后,他的肿瘤甚至已经侵袭到肺、肝、肾等重要器官。不幸的是,医生告诉他目前第一治疗选择是化疗,但是最多只能活三四个星期。他的第二选择是参加Larotrectinib(最初代号为LOXO-101)的靶向药临床试验。
令人欣喜的是,这款药使用4天后就起到了显著的疗效,Keith的颈部、面部和胸部的肿瘤缩小了大半,以至于已经摸不到了。1个月后的CT扫描显示,除了一个肿瘤外,其他所有肿瘤都消失了,仅剩的那个缩小了65%。目前,Keith已经无癌6年了,不仅重回正常生活,并且生活质量很好。
甲状腺癌:年仅5岁,抗癌3年,拉罗替尼让他"重获新生"
阿什顿5岁时被确诊为4期甲状腺癌,年幼的他接受过手术治疗、放射性碘治疗。但是不幸的是,2017年他用尽了所有的治疗方法,癌症还是扩散到他的肺部、颈部及胸部淋巴结,尽管经历了两轮积极的放射性碘治疗,癌症仍持续存在。他的肺功能受损,需要持续的氧气支持。
直到他的母亲接到电话通知阿什顿的肿瘤样本中含有NTRK基因融合体,能够与西雅图的临床试验相匹配。
他从7月份开始使用该药,就在2个月内,大部分的肿瘤已消失——影像学检查的结果还剩下一些很小的斑点,直到8个月后,阿什顿肺部的肿瘤几乎消失了。他不再需要氧气瓶,已经能够和朋友们一起跑步、一起踢足球。

阿什顿最后一次扫描莫菲特癌症中心的儿科肿瘤学家达蒙·里德博士说:“当发现具有这种药物靶向突变的患者时,拉罗替尼几乎每次都会有神奇的疗效。这可以为像阿什顿这样的数千人提供新的希望。”
软组织肉瘤:天生患肿瘤,用药2个月后,惊人地缩小78%
5岁的康纳出生时右膝下方有一个6厘米的肿瘤,被带到医院后活检显示纺锤状细胞肿瘤,这种肿瘤具有肌纤维瘤病(一种罕见的良性肿瘤)和婴儿纤维肉瘤(一种罕见的癌性肿瘤)的特征。
医生在康纳7周大的时候就开始化学治疗,并且持续了一年。然而化疗仅仅只能缩小一点肿瘤,当停止后肿瘤又再次生长。医生不得已尽可能多地切除肿瘤,但是手术解决方案存在风险,因为血管直接穿过肿瘤。不幸的是,手术后不久肿瘤又长大了。
在化疗和手术未能阻止肿瘤生长后,霍金斯博士在一项临床试验中开始治疗康纳,该试验测试了Loxo Oncology的一种名为LOXO-101(拉罗替尼)的新药。2个月后,他的肿瘤惊人地缩小了78%,治疗4个月后的扫描显示肿瘤完全消失。
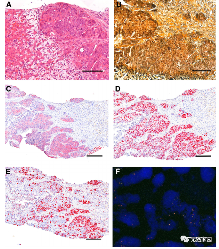
在NTRK基因扩增食管癌中,拉罗替尼具有抗肿瘤活性
2020年4月份刊登在《The Oncologist》杂志上的NTRK基因扩增食管癌临床案例,以供大家参考。
此名患者是一位71岁的男性,2018年12月感到吞咽障碍、伴有咳嗽、呼吸困难等症状,3个月内体重减轻20公斤,身体状况不佳,ECOG体力状况评分为3分(生活仅能部分自理,日间一半以上时间卧床或坐轮椅)。患者没有酗酒、吸烟史,也未得过肿瘤,食管胃十二指肠镜检查显示在食管中断有狭窄性食管癌,CT显示双侧肺转移,超声检查和CT显示多发性肝转移。食管肿瘤活检和经超声检查控制肝活检诊断确认。
经过FoundationOne CDx测试等常规组织学检查,确定患者为转移性鳞状细胞食管癌。测序结果中显示肿瘤组织中含有NTRK1基因突变,遂从2019年2月4日开始服用拉罗替尼治疗,患者接受2×100毫克的标准剂量,治疗期间未发生副作用。

患者常规组织学检查测序结果
患者治疗前于2019年1月4日完成螺旋CT扫描,起初显示出多处肺和肝转移。在治疗后评估ECOG体力状况评分为1,并且体重增加9公斤,能够离开医院且生活自理。2019年4月17日进行的随访活检检查(食管胃十二指肠镜检查)证实了患者的食管再无肿瘤。

患者食管支架治疗前用拉罗替尼及治疗后6周食管胃十二指肠镜检查结果
重排梭形细胞肿瘤:连续治疗28天,拉罗替尼让他肿瘤持续消退
在《CASE REPORT article》杂志刊登的一则关于成人NTRK重排梭形细胞肿瘤采用拉罗替尼治疗的临床案例。
这是一名患有晚期、预处理的NTRK重排梭形细胞肿瘤和肝、肺和骨转移的26岁男性接受拉罗替尼连续28天的治疗,剂量为100 mg,每天2次。治疗7天后进行的18 FDG-PET/CT 扫描显示内脏和骨病变中的肿瘤缩小。随后的评估证实了疾病部位的肿瘤持续消退。患者情况良好,并继续治疗。

左图为治疗前 PET/CT 扫描,图中显示转移灶几乎占据了整个肝脏、左肋骨和左股骨;
右图为开始采用拉罗替尼治疗7天后,PET/CT扫描显示早期肿瘤缩小
青出于蓝而胜于蓝,多款二代药、创新药不断涌现,未来可期
01、二代新药:瑞波替尼
在2019年6月举行的美国临床肿瘤学会年会(ASCO)上,一款横扫ALK/ROS1/NTRK三靶点的靶向新药Repotrectinib(瑞波替尼,TPX-0005)的数据惊艳四座。
Repotrectinib是美国Turning Point Therapeutics公司开发了一种新一代口服多靶点靶向药,对ALK、ROS1和NTRK都有抑制作用,能够克服多种对其他TKI产生抗性的基因突变,杀死携带ROS1、NTRK和ALK阳性的实体瘤。
在2019年ASCO大会上,研究者发表了其他ROS1抑制剂(TKI)与Repotrectinib治疗ROS1阳性非小细胞肺癌患者疗效的最新数据。
11例可评估的ROS1阳性NSCLC 患者的总体缓解率为82%,令人兴奋的是,颅内反应率为100%,临床受益率为100%,超越目前所有的靶向药。有望成为超越上市明星产品Larotrectinib (拉罗替尼,LOXO-101)、Entrectinib (恩曲替尼, RXDX-101)的新一代广谱抗癌新星。
02、创新药:Taletrectinib
Taletrectinib(DS-6051b,国内代号AB-106)是一款由日本第一三共株式会社研发、我国葆元生物引进国内并开始进行Ⅱ期临床试验的创新药物。在此前美、日中心的Ⅰ期临床试验中,AB-106已经展现出了不错的潜力。
在2018年5月的Oncotarget上公开了日本中心研究的结果,在可评估的3例克唑替尼耐药患者中1例达到部分缓解,2例患者疾病稳定,整体缓解率33.3%;9例非克唑替尼耐药患者中,1例达到完全缓解,5例达到部分缓解,整体缓解率66.7%,疾病控制率100%。研究中共纳入了5例脑转移患者,其中1例患者的颅内病灶达到了临床完全缓解。
在2021年9月25日,同济大学附属上海市肺科医院周彩存教授在CSCO大会上分享了Taletrectinib(AB-106)研究的最新结果,即新一代强效ROS1/NTRK抑制剂治疗ROS1阳性非小细胞肺癌II期研究(TRUST研究)初步研究结果,卓越的数据令在座各位专家感到振奋,期待这款药物早日上市,为患者带了新的选择和希望。
(注:目前这项临床试验仍在招募中,做了基因检测的病友可以拿出报告看看,一旦存在ROS1融合,可以马上联系无癌家园医学部申请是否有机会接受新药治疗,看不懂的病友也可以致电无癌家园医学部解读报告。)
小编有话说
除了上述提到的广谱抗癌药物外,目前多款针对NTRK的药物临床证实效果显著,并且都是广谱抗癌药物,对很多不同肿瘤都有效,因此需要提醒大家的是,即使是标准治疗方案失败,也可以尝试进行基因检测,一旦存在ALK、ROS1,NTRK1、NTRK2或者NTRK3基因融合,就可以尝试这些特效的广谱抗癌药。若想进行基因检测或了解更多国内外前沿癌症研究请持续关注无癌家园。
目前已经上市的多款广谱抗癌药:拉罗替尼、恩曲替尼、LOXO-292等仍在国内的招募仍在进行,由国内肿瘤领域权威的几家医院率先开展。以前这些美国研发上市的抗癌新药对于国内的患者来说遥不可及,近两年随着国家的重视,加快了各类抗癌药物研发上市的审批速度,让更多国外的新药好药,也能造福国内的癌症患者。希望这类广谱抗癌药物能尽快在国内完成临床试验,顺利上市,造福患者。
参考文献
1.https://ascopubs.org/doi/full/10.1200/PO.21.00418
2.https://www.frontiersin.org/articles/10.3389/fonc.2021.740676/full







