长达4年的临床缓解!新一代强效靶向治疗药物,突破耐药"拦路虎"
小编 2022-02-28
靶向药耐药后怎么办,新一代靶向治疗药物ROS1和NTRK双靶点抑制剂Taletrectinib(AB106)可以有效突破耐药
相信大家对靶向治疗已经非常熟悉了。这是一类比化疗更加“精准”的药物治疗选择,对于符合适应症的患者来说,疗效更好、副作用更轻,通常能够获得更长的生存期。
在靶向治疗药物当中,有一部分药物因为结构和功能的特殊,拥有了同时抑制两种或多种靶标的能力。这些药物的适应症范围更广,对于某些特殊类型的癌症,有着超越以往的良好效果。
这一次,我们和给大家分享的,就是这样一款能够用于医治NTRK和ROS1两类靶点的药物——AB106(Taletrectinib)。
AB106:新一代强效ROS1/NTRK抑制剂
作为新一代的ROS1/NTRK抑制剂,Taletrectinib(DS-6051b,AB-106)在“高手如云”的同靶点药物当中也能算得上是一颗耀眼的“明星”,近几年在多次权威大会上都能看到它的身影。
1、ROS1适应症,克唑替尼耐药的"希望之星"
早期,这款药物曾经以DS-6051b的代号,在日本及美国进行了多项临床试验项目,并以优异的疗效数据取得了广泛的关注。
其中,2018年公布在Oncotarget上的日本中心的研究数据,Taletrectinib(AB-106)治疗克唑替尼耐药患者的整体缓解率为33.3%,治疗非克唑替尼耐药患者的整体缓解率为66.7%,疾病控制率100%,同时对于脑转移患者也有一定的疗效,部分患者可以达到完全清除颅内病灶的目的。
此后2020年,CLINICAL CANCER RESEARCH杂志上刊登了其美国中心试验数据,同样佐证了Taletrectinib(AB-106)的出色疗效。研究共纳入46例患者,其中6例属于克唑替尼耐药后的难治性ROS1阳性非小细胞肺癌患者,Taletrectinib(AB-106)治疗的整体缓解率为33.3%。
最新更新于2021年ASCO大会上的试验结果则是将上述数据全部刷新,Taletrectinib(AB-106)治疗未经过克唑替尼治疗的患者,整体缓解率高达93%;治疗克唑替尼耐药的患者,整体缓解率60%,疾病控制率100%!
根据药理学研究的结果,Taletrectinib(AB-106)对于克唑替尼等第一代ROS1抑制剂耐药后,最常见的ROS1 L2026M和G2032R都有非常强的抑制效果。这两个突变又被称为ROS1抑制剂耐药的“关守”突变,常见而难以突破,就像是这部分患者取得理想治疗的“拦路虎”一样。而Taletrectinib(AB-106)拥有着击败这个“拦路虎”的实力,绝对是患者们的“希望之星”。
这些类型的患者,以及尚未使用过克唑替尼的ROS1阳性患者,都非常适合尝试这款药物的临床试验!大家可以联系基因药物汇-临床新药招募中心,提交病历资料申请参与入组筛选。
多款靶向药耐药,AB106治疗达到临床缓解
至癌症晚期,各类药物治疗方案最怕的一点就是耐药。一旦发生耐药,即在药物治疗的过程中出现进展,就意味着患者需要开始考虑更换其它能够获益的方案;但晚期癌症治疗的手段是比较有限的,频繁耐药、换方案,意味着患者最终会无可避免地陷入无药可用的境况。
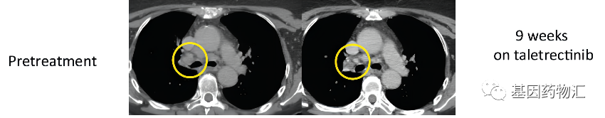
一位ROS1阳性的非小细胞肺癌患者,对于第一代ROS1抑制剂和第二代ALK抑制剂色瑞替尼耐药,属于非常难治的患者。这位患者参加了AB106的临床试验,接受了每天1200 mg剂量方案的治疗,达到了临床缓解,持续超过8个月。

2、长期缓解、持久获益
NTRK阳性患者接受NTRK抑制剂治疗的案例,最大的一个共同点就是治疗时间特别长,患者能够凭借靶向治疗取得三年、四年以上的超长缓解。
Taletrectinib(AB-106)的临床试验当中,也有一部分接受治疗后取得超长缓解的患者案例。这些患者当中有属于NTRK突变的,也有并不属于NTRK突变,但是仍然获得超长缓解的“幸运儿”!
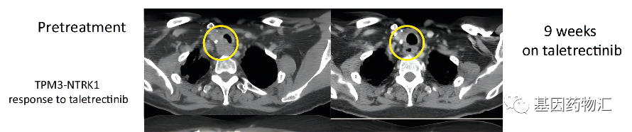
甲状腺乳头状癌:33.4个月,至发布时仍处于缓解
这位TPM3-NTRK1融合突变的转移性甲状腺乳头状癌患者,通过Taletrectinib(AB-106)治疗取得了相当不错的疗效。他用药后的缓解持续时间已经达到了33.4个月,并且至结果发布时,仍在刷新着这个数据,持续保持临床缓解!
他之前已经接受过非常多的治疗,包括甲状腺切除术、放化疗、放射性I-131治疗、索拉非尼治疗,甚至接受过了3个靶向治疗联合或不联合免疫检查点抑制剂的Ⅰ期临床试验。能够继续达到这样长的缓解期,疗效可谓相当出色。

神经内分泌癌:47.2个月,至发布时仍处于缓解
另外两位神经内分泌癌患者并没有确认NTRK融合突变,但是疗效同样出众,缓解期非常长,甚至能够达到近四年的超长缓解。

神经内分泌癌:41.4个月,至发布时仍处于缓解

新药蓬勃发展,免费用药机会不容错过
文中的多名患者案例,在接受过大量治疗之后,仍取得了非常长的缓解期。只要选对了药物,患者的生存期非常有希望取得明显的延长!
Taletrectinib(AB-106)最初由日本第三一共株式会社研发,目前已经经由国内药企引进,开始进行中国中心的临床试验项目,广泛招募国内的ROS1以及NTRK突变患者。如果大家想要尝试这款药物,可以联系临床新药招募中心,根据指导提交病例后,接受入组筛选。







