五年无癌里程碑!首位接受新型免疫疗法的乳腺癌患者宣布"临床治愈"
小编 2022-02-16
乳腺癌免疫治疗,首位接受新型细胞免疫Til疗法治疗的乳腺癌患者宣布"临床治愈"
还记得2018年登上国际顶级期刊的晚期癌症患者 Judy Perkins的案例吗?如今,55 岁的 Judy Perkins 成为第一个通过新型免疫疗法,被宣布“治愈”的转移性乳腺癌女性患者!她说,五年后的现在,她已经没有任何癌症的迹象,现在她期待的下一个里程碑是十年大关。
作为新型免疫疗法的临床实验参与者与见证人,她的名字将载入史册,也将在未来出现在医学教科书上,她的经典抗癌经历将给无数的肿瘤患者带来勇气和希望!

五年无癌里程碑!朱迪 帕金斯的传奇抗癌经历
2003 年,家住佛罗里达州的结构工程师朱迪·珀金斯(Judy Perkins),确诊为早期乳腺导管原位癌,她切除了整个乳房及腋下所有的淋巴结。手术后朱迪几乎痊愈了,她以为自己早已远离了死神。
没想到十年后,2013年,她的癌症复发了,而这一次,是转移性的,也就是第 4 期。发现的时候已经转移到胸骨,胸壁,心包附近以及肝脏。最终,医生告诉她,这是IV期激素受体阳性,HER2阴性乳腺癌,预期寿命可能是2至3年。
Judy开始接受各种治疗,在无数次化疗和激素疗法失败后,Judy的癌细胞经扩散至各个部位,甚至连肝脏都长了网球那么大的肿瘤。医生说,朱迪最多还有三个月可活。这是第一次,她感觉自己和死神的距离这么近。

2015年7月,Judy看到美国国家癌症研究所(NCI)正在测试一种全新的过继细胞免疫疗法,这是一种使用肿瘤浸润淋巴细胞(TIL)来靶向实体瘤患者中的特定肿瘤细胞突变,包括结肠直肠癌,卵巢癌/子宫内膜癌,胶质母细胞瘤,胰腺癌和乳腺癌等的新型细胞免疫疗法。
她抱着最后的一线希望找到了的外科主任和免疫治疗领域的先驱Steven Rosenberg 博士。在和Rosenberg博士交流后,了解到这种实验性治疗在治疗癌症方面的成功率很低 - 仅约14% - 而且在乳腺癌之前甚至没有尝试过。她决定放手尝试,与死神做最后一博!
Steven Rosenberg 博士说,“Judy 是第一批新疗法的实验者,我们通过仔细观察(她)身体的免疫细胞,可以识别出精准杀伤她的肿瘤细胞的特异性免疫细胞,通过在实验室中培养出数量巨大的免疫军团,可能使癌症完全消退。”

Rosenberg博士先对肿瘤进行了测序,并在Judy的乳腺癌细胞里找到了62种不同的突变;接着,研究人员从她的肿瘤里寻找肿瘤浸润性免疫细胞,这类免疫细胞能够精准识别杀伤肿瘤细胞,这些珍贵的细胞在实验室进行大量扩增。
当900亿个免疫细胞被输入Judy体内后,奇迹出现了。
一周过后,她已经感觉自己的身体起了明显的变化。
比如长在胸部的肿瘤,感觉逐渐缩小。
又过了一两周,胸腔内的肿瘤完全消失了!
她的经典案例也登上了顶级期刊《Nature》上。如今她是全国乳腺癌联盟的倡导者,鼓励更多病友战胜癌症。

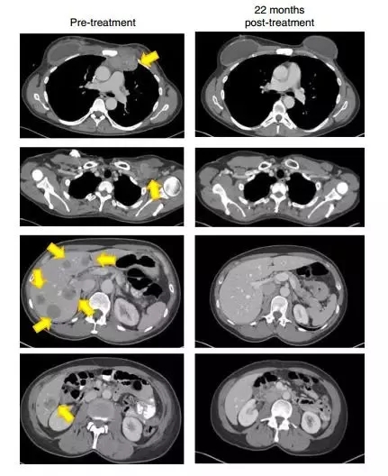
22个月后,影像检查显示(黄色箭头)肿瘤消失得无影无踪(图片来源:《Nature Medicine》)
新型免疫疗法-TILs
看了上面的案例,大家一定想知道朱迪接受的细胞免疫疗法究竟是何方神圣。
其实,这属于过继性T细胞疗法的一种,是由免疫界泰斗Rosenberg及其团队开创的新方法。
TIL(Tumorinfiltrating lymphocytes)指肿瘤浸润的淋巴细胞。在手术切除的肿瘤组织中,大部分是肿瘤细胞,也有少部分淋巴细胞。这些淋巴细胞中有部分是针对肿瘤特异性突变抗原的T细胞,Rosenberg博士认为它们是深入到敌军内部打击能力最强的免疫细胞,科学家现在已经研发出体外培养方法,把这些肿瘤组织中的特异性淋巴细胞TILs富集起来,再扩增回输给患者,就能够发挥抗肿瘤作用,而且联合PD-1效果会更好,这就是大名鼎鼎的TILs细胞疗法。
需要提醒大家的是,建议大家在手术前争得手术医生的同意,将新鲜手术组织保存,交由专业机构将TIL细胞提取,可以在术后回输预防复发,或者是先冻存起来,以备未来不时之需。因为手术后未经其他治疗时新鲜组织中的TIL细胞对肿瘤的杀伤能力才是最强的,一旦接受化疗和放疗,免疫细胞的杀伤能力会被削弱。具体的方法和冻存流程大家可以致电全球肿瘤医生网医学部咨询。
目前,仅美国的肿瘤浸润淋巴细胞(TIL)治疗方法LN-145获得了FDA授予的突破性疗法称号,用于治疗化疗后复发的晚期宫颈癌患者,预计将在2022年向FDA提交上市申请。同时TILs疗法在肺癌,乳腺癌,黑色素瘤,肉瘤等实体肿瘤中取得了卓越的临床数据。好消息是,目前TILs疗法在国内已获得批准正式开展人体临床试验招募患者,针对临床标准治疗失败,想尝试新疗法的病友可以致电全球肿瘤医生网医学部进行评估。
免疫疗法为肿瘤患者打开长生存大门
针对患者自身免疫系统的癌症免疫疗法被认为是“治愈”癌症的新希望。越来越多的免疫疗法崭露头角,除了上面提到的TILs疗法,免疫细胞NK,DC,T细胞的临床辅助治疗正在进行大量的临床研究,有望联合化疗,靶向治疗、PD-1等标准疗法提高治疗效果,延长生存期。
比如:
1.树突细胞联合化疗在提高患者生存率方面显示出协同作用和显着潜力。
2.NK细胞联合化疗,PD-1有望让胃癌患者获得更长的生存期。
除此之外还有多靶点复合抗原T细胞目前作为免疫调节手段进行相关的临床研究。
最后全球肿瘤医生网提醒广大癌症患者,虽然医学水平不断发展,治疗技术也在不断创新,但是至今为止,仍没有一种手段可以治愈肿瘤,肿瘤的治疗一定是依托于权威医院及权威专家的正规治疗,在采取常规治疗手段(手术、放疗、化疗)治疗后,根据自身的经济情况,辅助免疫治疗技术等综合疗法,达到巩固治疗,预防复发,提高生活治疗,延长生存期的目的。相信随着更多治疗方案的发展,肿瘤患者将迎来更多治疗选择和希望,我们期待人类攻克癌症的那一天早日到来。
原文链接:https://www.survivornet.com/articles/judy-perkins-doing-great-living-life/







